Клиничен случай – наследствен дифузен стомашен рак

15-годишно момиче постъпва в болница поради „пробождаща“ коремна болка. Съобщава, че оплакванията са по-силни по време на менструация и не се облекчават от нищо. Прегледът, лабораторните изследвания и ехографията на коремни органи са нормални. Момичето има леля, която е починала от рак на стомаха на 28-годишна възраст, поради което се страхува за себе си.

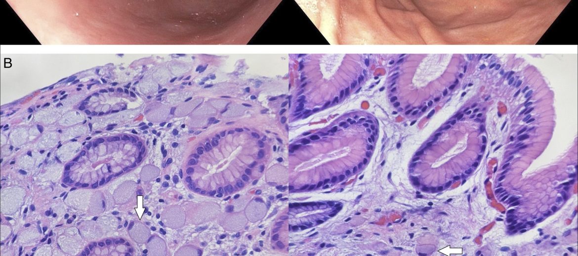
Гастроскопията установява слабо изразено възпаление на стомаха и нормално изглеждащи гънки, без язви или полипи. Взети са няколко биопсии, като в една от тях неочаквано се откриват ракови клетки с вид на ниско диференциран карцином тип „пръстен с камък“ (виж снимки отдолу в коментар). Злокачествените клетки са отрицателни за HER2 свръхекспресия. Изследването за бактерията Helicobacter pylori е отрицателно.

Каква е диагнозата?

Компютърната томография показва нормален вид на коремните органи, без уголемени лимфни възли и с нормална дебелина на стомашната стена. Позитрон емисионната томография (ПЕТ) открива повишено натрупване на маркирана глюкоза в стомаха, но без метастази. Проведена е лапароскопска операция за отстраняване на стомаха. Хистологичното изследване на изрязания орган открива 156 зони на туморни клетки тип „пръстен с камък“ в ламина проприя. Резекционните линии са чисти, а в отстранените лимфни възли няма ракови клетки.

Семейството на момичето е насочено за генетични изследвания. Установява се мутация в CDH1/E-cadherin гена, което поставя диагнозата наследствен дифузен стомашен карцином (HDGC). Мутацията е открита при бащата и при 10-годишната сестра на момичето, а майката е отрицателна. Проведена е гастроскопия при бащата и сестрата, като са взетти над 40 биопсии. И при двамата пациенти се откриват ракови клетки. Бащата също е опериран с отстраняване на стомаха, докато сестрата остава под стриктно ендоскопско наблюдение.

Наследственият дифузен стомашен рак е фамилна форма на ниско диференциран карцином по типа „пръстен с камък“. Причинява се от мутация в CDH1/E-cadherin гена. Мутацията се унаследява по автозомно доминантен път. Откриването на тумора в ранните стадии е изключително трудно, защото се развива и разпространява в подлигавичния слой и гастроскопията може да изглежда нормална. Носителите на мутацията имат и повишен риск от лобуларен карцином на гърдата.

Стомашният рак е изключително рядък в педиатричната популация. Това е първият описан случай на 2 сестри с наследствен дифузен стомашен рак и първият случай на трима члена в едно семейство с това злокачествено заболяване.

За наследствен дифузен стомашен рак трябва да се мисли при пациент с фамилна обремененост, особено когато ракът на стомаха се е развил при роднината преди 50-годишна възраст. Туморните клетки може да останат в индолентно състояние в ламина проприя в продължение на десетилетия. Молекулният механизъм, който води до трансформация към инвазивен растеж, не е известен.

За носителите на мутацията се препоръчва профилактично отстраняване на целия стомах, обикновено на възраст по-ниска от тази при най-младия засегнат роднина. При отказ за операция, се препоръчва ежегодно ендоскопско проследяване с множество биопсии.

Източник: Falgout L, Gensler LL. Two Pediatric Cases Within a Familial Cluster and Hereditary Diffuse Gastric Carcinoma: A Tale of 2 Sisters. ACG Case Rep J. 2023;10(7):e01100.

Абонирайте се за нашите статии...

Първата статия е:
"10 малко известни симптоми, зад които се крият тежки заболявания"
  • Кои 10 често пренебрегвани симптоми може да сe дължат на опасни заболявания?
  • С кое заболяване е свързан всеки симптом?
  • Какво да правим, ако забележим такъв симптом?
Веднага ще изпратим първата статия по електронната поща.
ИЗПРАТИ СТАТИЯТА!
close-link

Абонирайте се за нашите статии и промоции

Въведете своя E-mail за получаване на новини
Абонирам се
close-link

Търсене за...